La transmisión nerviosa está mediada por una interacción física/química que producen los estímulos dolorosos sobre los receptores del dolor y, posteri…
Tag Archives: #neuronas
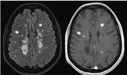
Esclerosis Múltiple: Cuando el paciente es terapeútico
La Esclerosis Múltiple (EM) es una enfermedad crónica del sistema nervioso, caracterizada por la pérdida de la vaina de mielina de las neuronas…
