La transmisión nerviosa está mediada por una interacción física/química que producen los estímulos dolorosos sobre los receptores del dolor y, posteri…
Tag Archives: #dolor
Nervio Sinuvertebral de Luschka
Traemos a colación a este eminente anatomista por los cuadros de Dolor, de origen discal, que en muchas circunstancias aparecen y no responden a las medidas convencionales de tratamiento.
Descubrir al hombre
La estructura de las células y de los tejidos de los seres humanos vistas a microscopio, con enorme fidelidad, siguen causando asombro, incluso hoy en día.
DOLOR E ICTUS
El término Ictus o accidente vascular cerebral, se refiere a una serie de trastornos derivados de la alteración de la circulación en el cerebro, cerebelo, tronco cerebral u otras estructuras encefálicas.
ALZHEIMER Y DOLOR
La enfermedad de Alzheimer es una demencia caracterizada por la pérdida progresiva de múltiples capacidades cognitivas…
DEJA VU
Deja Vu”, una probablemente falsa impresión de conocer lo que ha sucedido, un cruce de cables, un cortocircuito en la red de una inteligencia artificial.
Otro viernes de Dolores
Se han escrito multitud de documentos estudiando cómo pudo ser el tormento de Jesús y en todos se destacan las innumerables causas de dolor, de padecimiento.
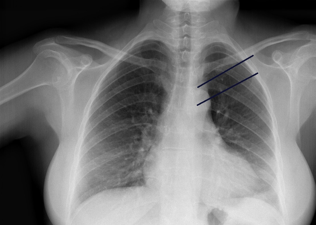
SÍNDROME DE TIETZE
El síndrome de Tietze o costocondritis es un cuadro caracterizado por dolor en la parrilla costal, suele asociarse a inflamación en los cartílagos que unen costillas y esternón.
Dolor: sujeto y predicado
El dolor, como experiencia sensorial y emocional humana, necesita de los adjetivos para definir las cualidades y de los números para cuantificar sus magnitudes.
DOLOR y GLORIA
El dolor afecta por sus especiales características a multitud de aspectos de la vida que limita las funciones, la movilidad, el descanso, la concentración, las relaciones sociales, condiciona la vida laboral
