Isabel es una paciente de 66 años. Venimos siguiéndola desde hace varios años en nuestra unidad por cefaleas y artrosis vertebral.

Su diagnóstico siempre ha estado ligado a esa patología degenerativa articular que, según su localización cervical, justificó la presencia de una cefalea tensional, relacionando la propensión a la contractura muscular cervical con el dolor de cabeza y la afectación vertebral torácica o lumbar con la irradiación en esos territorios.

El dolor es una patología que diagnosticamos en primer lugar, por lo que el paciente manifiesta la localización, intensidad, frecuencia, relación con movimiento o reposo, y afectación de otras actividades cotidianas.
Las pruebas complementarias, como analíticas o pruebas de imagen o funcionales, lo que hacen es completar, poner apellido al nombre de la enfermedad diagnosticada por la clínica. El apellido modifica el nombre, aunque no da una identidad distinta y, como es lógico, siempre hay excepciones a esta regla.
El caso del Mieloma no es distinto, ya que el apellido múltiple matiza, pero no cambia el diagnóstico, que se caracteriza por una aparición multicéntrica de lesiones, los plasmocitomas.
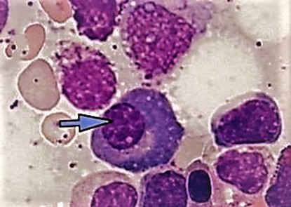
Estos plasmocitomas son producidos por células plasmáticas (derivadas de los linfocitos B), que producen inmunoglobulinas, las proteínas que normalmente nos protegen de las infecciones.

A Isabel, recientemente, le encontraron una lesión en el cráneo de tipo lítico, como un hueco, en sacabocados, típica del Mieloma Múltiple. Posteriormente, el diagnóstico se ha completado con un estudio analítico, especialmente de las proteínas, para valorar esa alteración en la fracción de las inmunoglobulinas del proteinograma, seguido de aspirado de médula ósea y radiológico completo.

Así pues, a Isabel, que ya tenía causa para dolor crónico, se le ha añadido una nueva que cursa con dolor óseo, con hipercalcemia, con alteraciones renales, con fatiga, anemia y alteraciones de la respuesta inmune. Lo que veníamos tratando de Isabel era su dolor, el dolor que ella percibía y dónde lo sentía. Ahora, con estos nuevos datos, seguiremos tratando su dolor, aunque será necesario añadir al tratamiento las medidas que combaten el Mieloma.

El mieloma es una enfermedad de células sanguíneas, un tipo de leucemia que afecta fundamentalmente a hombres, a veces con contacto con tóxicos ambientales, con tendencia a la obesidad y en la segunda mitad de la vida.
Las células plasmáticas crecen sin control, afectando a las otras células de la sangre, con disminución de su número, es decir, anemia, plaquetopenia y leucopenia. Las células cancerosas producen inmunoglobulinas de forma descontrolada y desordenada que se acumulan en el organismo y además produce lesiones óseas.
Por tanto, el tratamiento debe ir orientado a curar o eliminar esas células en exceso, restablecer las líneas celulares afectadas y a curar o mitigar esas lesiones.

Hoy por hoy, el tratamiento del mieloma consiste en quimioterapia, especialmente las nuevas inclusiones terapéuticas de bortezomib, talidomida y lenalidomida, que facilitan la eliminación de células malignas preparando el cuerpo para un trasplante de médula sana que reemplace esas células por otras sanas.
La tasa de supervivencia del Mieloma a los 5 años se cifra en un 43%, aunque puede ser mayor, según el momento de la enfermedad en el que se diagnostique.

Medidas como la radioterapia en lesiones óseas, la extirpación de los plasmocitomas abordables con cirugía, el uso de Bifosfonatos para controlar las lesiones destructoras de hueso o la plasmaferesis de la sangre, si ésta se hace muy viscosa, completan el tratamiento.
A favor de Isabel, el diagnóstico precoz, la falta de antecedentes y la casi nula afectación sistémica. En contra, su edad, 66 años, su tendencia a la obesidad. Comienza un nuevo capítulo en su lucha contra la enfermedad y el dolor en el que, como es lógico, podrá contar con nosotros.

Aunque las enfermedades tienen un curso definido en los libros con signos, síntomas, diagnóstico, pronóstico, tratamiento como parte de su descripción, la experiencia vital siempre es más elocuente y enseña más que cualquier tratado.
Una última reflexión: sufrir una patología, desgraciadamente, no protege de poder padecer otra y, muchas veces, los problemas no vienen solos. La enseñanza positiva está en que la vida nos indica cómo afrontar esos retos, seamos pacientes o terapeutas, y nos prepara para el siguiente desafío, porque lo contrario supone salir del juego.
